Препарат от гипертонии способен помочь в лечении редкой опухоли мозга
Китайские исследователи установили, что популярный препарат для лечения гипертонии может быть полезен в терапии редкой опухоли мозга – краниофарингиомы. Это доброкачественное образование поражает гипофиз или гипоталамус, вызывая серьезные проблемы со здоровьем, включая диабет, ожирение и нарушение зрения.
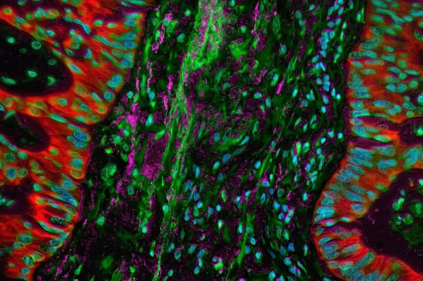
Исследования проводились на лабораторных моделях, имитирующих развитие краниофарингиомы у человека, что дало ученым возможность глубже понять механизмы роста опухоли и протестировать эффективность лекарственного средства.
Согласно статье, опубликованной в журнале Science Translational Medicine, исследовательская группа под руководством Ву Цинфэнга из Института генетики и биологии развития Китайской академии наук отметила, что данный препарат может быть значительным шагом в поиске новых методов лечения опухолей мозга. Ученые также подчеркивают важность дальнейшего изучения клеточных изменений и генетических факторов, которые играют роль в развитии краниофарингиомы.
Традиционно лечение этой опухоли осуществляется хирургическим путем, однако операция сопряжена с риском осложнений, включая рецидивы и повреждение гормональной системы. Это создает дополнительные трудности не только для нейрохирургов, но и для эндокринологов. Найденный препарат может облегчить лечение и снизить вероятность побочных эффектов.
Обсудим?
Смотрите также:
